• 患者服务: 与癌共舞小助手
  • 微信号: yagw_help22

QQ登录

只需一步,快速开始

开启左侧

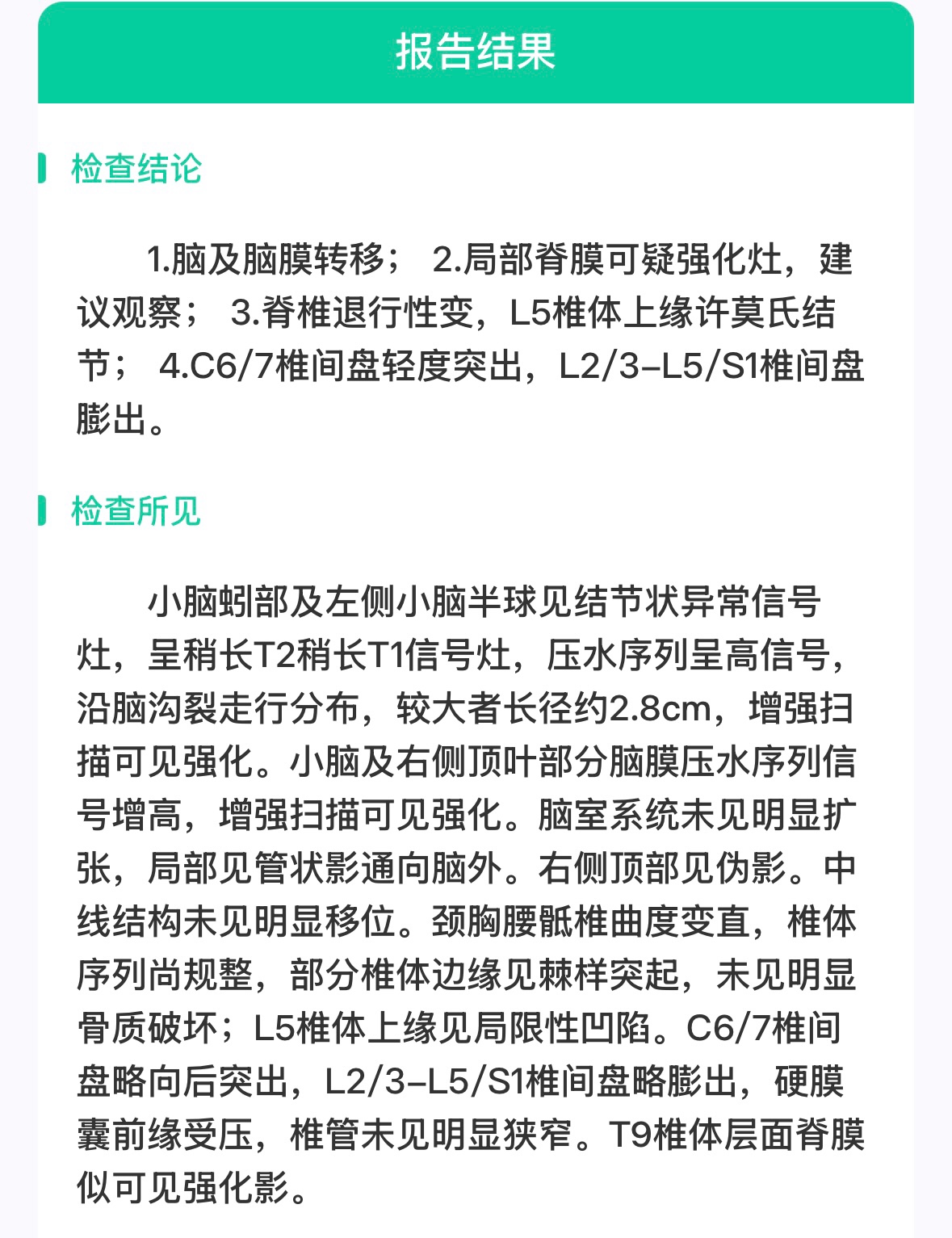
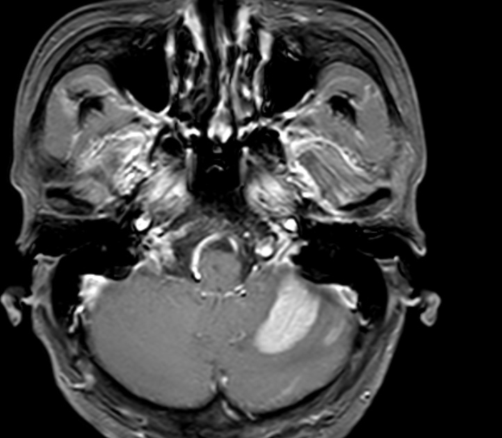
小脑病灶选择什么方式处理

[复制链接]
10656 6 永不耐药 发表于 2025-11-12 18:05:52 |

马上注册,结交更多好友,享用更多功能,让你轻松玩转社区。

您需要 登录 才可以下载或查看,没有账号?立即注册

x
本帖最后由 永不耐药 于 2025-11-12 19:04 编辑

请教大家,小脑这个病灶用什么方法处理比较好,放疗还是伽玛刀

                               
登录/注册后可看大图


                               
登录/注册后可看大图


                               
登录/注册后可看大图


                               
登录/注册后可看大图

6条精彩回复,最后回复于 2025-11-18 22:45

永不耐药  高中二年级 发表于 2025-11-12 20:52:59 来自手机 | 显示全部楼层 来自: 中国
@申医生 @阳光~ @keenman 求各位老师指点

                               
登录/注册后可看大图

举报 使用道具

回复 支持 反对
累计签到:1 天
连续签到:1 天
[LV.1]初来乍到
申医生  版主 发表于 2025-11-13 04:09:03 来自手机 | 显示全部楼层 来自: 孟加拉
永不耐药 发表于 2025-11-12 20:52
@申医生 @阳光~ @keenman 求各位老师指点

放疗的话可以考虑全脑,不适合刀,能看到脑膜强化

举报 使用道具

回复 支持 反对
永不耐药  高中二年级 发表于 2025-11-13 08:32:08 来自手机 | 显示全部楼层 来自: 中国
申医生 发表于 2025-11-13 04:09
放疗的话可以考虑全脑,不适合刀,能看到脑膜强化

可以做局部放疗吗

                               
登录/注册后可看大图

举报 使用道具

回复 支持 反对
累计签到:75 天
连续签到:74 天
[LV.6]超级爱粉
火爆鸳鸯C28  大学一年级 发表于 2025-11-13 11:55:56 | 显示全部楼层 来自: 中国
小脑是“单发或少数几个(如2-5个)”转移灶,且没有确诊或高度可疑的脑膜转移,医生的首选方案很可能是伽玛刀(或射波刀等其它立体定向放疗)。
如果脑内转移灶“非常多(如超过15个)”,强化或已“确诊脑膜转移”:
医生可能会推荐 全脑放疗,以期控制全脑范围的肿瘤细胞,包括脑膜上的病变。但需要权衡其对认知功能的损伤。
奉献专业学识,免费答疑解惑,用爱心为病友点亮希望之光。

举报 使用道具

回复 支持 反对
阳光~  博士导师 发表于 2025-11-13 12:24:25 来自手机 | 显示全部楼层 来自: 湖南
怎么说呢 就想把这个明显的病灶给处理掉那就伽马刀或者射波刀,现在描述脑膜,脊膜都有转移,后面治疗任重而道远的

举报 使用道具

回复 支持 反对
累计签到:1 天
连续签到:1 天
[LV.1]初来乍到
申医生  版主 发表于 2025-11-18 22:45:46 来自手机 | 显示全部楼层 来自: 孟加拉

有脑膜,更推荐全脑

举报 使用道具

回复 支持 反对

发表回复

您需要登录后才可以回帖 登录 | 立即注册

本版积分规则

  • 回复
  • 转播
  • 评分
  • 分享
帮助中心
网友中心
购买须知
支付方式
服务支持
资源下载
售后服务
定制流程
关于我们
关于我们
友情链接
联系我们
关注我们
官方微博
官方空间
微信公号
快速回复 返回顶部 返回列表